Nhân một ca bệnh hiếm
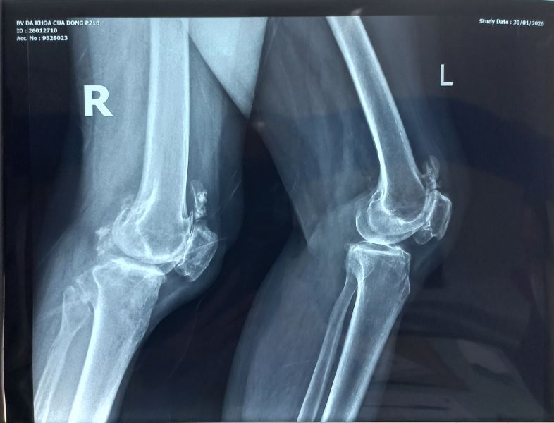
Bệnh nhân Lê Thanh L sinh 1982 bước vào với dáng đi tập tễnh, cử động khớp gối bên phải khó khăn. Khám khớp gối phải to nhưng không có biểu hiện nóng đỏ, nắn thấy có các nốt cứng lổn nhổn sát xương. Ấn khe khớp đau. Vận động khớp hạn chế cả chủ động và thụ động trong tầm 120-150 độ. Các khớp khác hoàn toàn bình thường. Bệnh nhân nói khớp bị đau sưng và đi lại khó khăn tăng dần khoảng 6 tháng nay. Không có tiền sử chấn thương khớp. Cách đây 5 năm bệnh nhân đã được mổ vào mặt trong khớp và lấy ra vài hạt nhỏ, cứng.
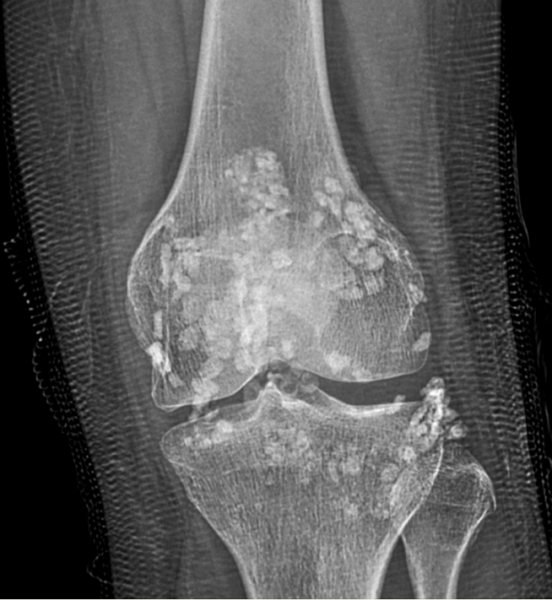
Chụp X-quang cho hình ảnh dưới đây.

Chúng tôi nghĩ đến bệnh Synovial Osteochondromatosis một loại bệnh hiếm gặp và cho bệnh chân chụp MRI khớp cho kết quả sau:




Bệnh nhân khác

U sụn màng hoạt dịch (Synovial Osteochondromatosis)
1. Đại cương
U sụn màng hoạt dịch (Synovial Osteochondromatosis) là một dạng dị sản lành tính của màng hoạt dịch, trong đó các tế bào liên kết có khả năng tự tạo sụn.Trong ổ khớp các khối sụn nhỏ mọc trồi lên bề mặt màng hoạt dịch, sau đó phát triển cuống và hình thành các u dẫn đến vôi hóa rồi xơ cứng lại và được gọi là sụn.
U sụn màng hoạt dịch được mô tả lần đầu tiên bởi Leannac (1813), còn được gọi là hội chứng Reichel.
U sụn màng hoạt dịch có thể xuất hiện ở phía ngoài khớp tại các bao hoạt dịch, bao gân, đôi khi vừa ở ngoài khớp vừa ở màng hoạt dịch.
Bệnh tương đối hiếm gặp và thường chỉ gặp ở một khớp, các khớp thường gặp Là khớp gối (50-60%) rồi đến khớp háng, khuỷu, vai và cổ chân. Các khớp ít gặp là khớp cổ tay, khớp bàn ngón tay, khớp quay trụ xa, khớp cùng vai đòn, khớp hàm thái dương. Tuổi thường gặp 40 – 50, tỉ lệ nam/nữ 2-4/1.
2. Nguyên nhân
- Nguyên phát: thường ở người 30-50 tuổi, tổn thương chủ yếu ở một khớp.
- Thứ phát, bệnh xảy ra sau: thoái hóa khớp, viêm khớp do lao, viêm xương sụn bóc tách, gãy đầu xương trong ổ khớp, vỡ sụn.
Trong loại thứ phát các nốt sụn thường lớn, kích thước thay đổi và thường hóa xương. Trái lại trong u sụn màng hoạt dịch nguyên phát các nốt nhỏ và đồng đều.
3. Giải phẫu bệnh
Màng hoạt dịch dày dạng thùy múi, nhiều hạt màu trắng xanh tạo bởi sụn trong dính vào mặt trong của màng hoạt dịch. Bản chất của các khối này là sụn, sau đó lắng đọng calci vào tạo thành khối cản quang kích thước đồng đều 2-3cm hoặc dính vào nhau tạo thành khối lớn đến 20cm. Một số khối này liên kết với màng hoạt dịch của khớp bởi các cuống nhỏ, theo thời gian sẽ rơi vào trong khớp và trở thành các dị vật khớp. Các dị vật trong khớp sẽ ảnh hưởng đến vận động của khớp và gây ra các triệu chứng như đau, hạn chế tầm vận động của khớp, viêm màng hoạt dịch gây tràn dịch khớp và thường tiến triển từ từ tăng dần.
4. Triệu chứng lâm sàng
- Đau: 80 - 100% bệnh nhân
- Sưng: 42 – 58% bệnh nhân
- Hạn chế vận động khớp: 38 - 55% bệnh nhân
- Sờ thấy nốt, khối trong khớp
- Teo cơ: ít gặp
5. Điều trị
Trước đây các tác giả chủ trương mổ lấy hết dị vật khớp và cắt hết phần màng hoạt dịch có u sụn để tránh tái phát, tuy nhiện chức năng khớp sau mổ bị hạn chế nhiều. Hiện nay người ta thường chỉ lấy bỏ các dị vật trong ổ khớp để giải quyết triệu chứng đau và hạn chế vận động. Phẫu thuật nội soi có ưu điểm vượt trội trong loại phẫu thuật này.
Hà Hoàng Kiệm
