Ca lâm sàng viêm cơ tim do virus
PGS.TS. Hà Hoàng Kiệm, BV 103
Bệnh sử:
Bệnh nhân Đào Hồng T, nam 40 tuổi, cách đây 7 ngày bị sốt nhẹ 380 kéo dài hai ngày thì hết sốt, sau sốt 3-4 ngày bệnh nhân xuất hiện buồn nôn và nôn khi ăn, tình trạng này tăng dần đến ngày thứ 6 bệnh nhân ăn hoặc uống bất cứ thứ gì cũng thấy đầy bụng khó chịu, chỉ sau 30phút đến 1 giờ là nôn ra hết. Cảm giác rất mệt, vô lực không muốn cử động chân tay, giọng nói thều thào.
Khám: không sốt, người gầy, khô trạng thái mất nước, tiểu ít 500ml/24 giờ, vẫn đi ngoài được, phân ít và nát. Bụng mềm không chướng, sờ nắn chỉ có cảm giác tức không có điểm đau, gan, lách không sờ thấy. Nhịp tim 46 nhịp/ph đều tiếng tim mờ, huyết áp 95/70mmHg, rì rào phế nang hai phổi bình thường.
Một số kết quả xét nghiệm của bệnh nhân ở ngày thứ 8 của bệnh (16.4.2016).
Hình 1. Xét nghiệm huyết học của bệnh nhân ngày thứ 8 của bệnh.
Hình 2. Xét nghiệm sinh hóa máu của bệnh nhân ngày thứ 8 của bệnh.
Hình 3. Điện tim của bệnh nhân ở ngày thứ 8 của bệnh.
Hình 4. Phim chụp dạ dày của bệnh nhân ở ngày thứ 8 của bệnh. Khi bệnh nhân uống Barit để chụp bị nôn ra hết, được tiêm atropin để chụp thì thành công, nhưng sau chụp bệnh nhân lại nôn ra hết.
Siêu âm ổ bụng: gan mật, lách, thận, bàng quang, tiền liệt tuyến bình thường.
Từ các thông tin trên, các bạn chẩn đoán là gì????????????????????
Bàn luận:
- Nhìn kết quả xét nghiệm huyết học thấy số lượng bạch cầu 3,83G/l (giảm), LYM 43,2% (tăng), MON 1,9% (thấp). Như vậy có thể nghĩ đến bệnh nhân bị sốt do virus, rất tiếc không có xét nghiệm CRP và xét nghiệm procalcitonin để khẳng định thêm chẩn đoán (vì ở quê không đủ điều kiện).
- Bệnh nhân bị nôn khi ăn hoặc uống bất kỳ thứ gì kéo dài nhiều ngày và càng này càng trầm trọng, liệu có phải hẹp môn vị hoặc tắc ruột? Bụng bệnh nhân không chướng, nhìn phim chụp dạ dày thấy thực quản lưu thông tốt, môn vị thông, thuốc vẫn xuống được ruột, dạ dày và tá tràng không có hình ảnh viêm hoặc loét. Ổ bụng không thấy có mức hơi và mức nước. Như vậy có thể loại trừ tắc ruột và hẹp môn vị, vậy là cái gì khiến bệnh nhân nôn? Nhìn kỹ hình ảnh dạ dày tôi giật mình thấy hình như dạ dày không có nhu động (so sánh cả 4 hình ảnh sẽ nhận ra điều này), liệt ruột chăng? Đặt ống nghe lên bụng thấy bụng hoàn toàn im lặng không có nhu động ruột. Đúng rồi bệnh nhân bị liệt ruột hoàn toàn.
- Điện tim là nhịp chậm xoang (46 nhịp/ph), có bock nhĩ-thất cấp I (PR = 218ms), tiếng tim mờ, huyết áp thấp, bệnh nhân rất mệt gần như vô lực. Các triệu chứng trên xảy ra ở một người trước đó không có bệnh lý tim mạch thì có thể nói đây là triệu chứng của viêm cơ tim. Rất tiếc không có phim tim phổi và siêu âm tim để xác định thêm cho chẩn đoán.
Từ các phân tích trên tôi đưa ra chẩn đoán bệnh nhân bị viêm cơ tim, liệt ruột do virus.
Sử trí:
Bất động hết sức quan trọng, mọi gắng sức dù là nhỏ đều tiềm ẩn nguy cơ đột tử do rối loạn nhịp hoặc làm cho suy tim trầm trọng hơn. Truyền dịch tốc độ chậm bù điện giải (ringer lactat) cho solumedron pha vào dịch truyền, kết hợp dùng lá thị vò nát đặt ngoài hậu môn và xoa bụng theo chiều kim đồng hồ. Chỉ 3 giờ sau bệnh nhân trung tiện nhiều, nghe bụng đã thấy nhu động ruột, ăn được ít cháo và không còn nôn. Ngày thứ hai sức khỏe bệnh nhân khá hơn, ăn cháo và uống được sữa nhiều hơn, không nôn. Nhịp tim tăng lên 66 nhịp/ph đều, tiếng tim rõ, huyết áp 110/80 mmHg. Bệnh nhân đang được điều trị theo phác đồ giai đoạn 2 của bệnh viêm cơ tim.
Kết quả sau 10 ngày (2.5.2016) lâm sàng sức khỏe trở lại gần bình thường, nhưng khi leo lên gác 3 còn mệt, các xét nghiệm như sau:
Huyết học
Điện tim
Siêu âm tim
Như vậy số lượng bạch cầu máu đã về bình thường (6,7G/l), tỉ lệ Lympho giảm (16,3%) chứng tỏ tác dụng ức chế miễn dịch có hiệu quả. Bệnh nhân có thiếu máu nhẹ: số lượng hồng cầu 3,71T/l, Hb 11g/l, hematocrit 0,336L/L.
Điện tim nhịp xoang 86 nhịp/ph, không còn block nhĩ thất (PR = 192ms).
Siêu âm tim bình thường, tim trái không dãn (Dd = 46mm), Chiều dày thành tim bình thường (LVd = 7mm, IVSd = 7mm), chức năng tâm thu thất trái bình thường (dốc EF = 5,5cm/s, rất tiếc kết quả siêu âm không tính EF%, nhưng Ds = 31mm).
Bệnh nhân cần được bổ xung các yếu tố tạo hồng cầu và chế độ ăn nhiều dinh dưỡng.
Chúng tôi sẽ thông báo tiếp kết quả 1 tháng sau.
Dưới đây là bài viết “Những tiến bộ trong việc hiểu biết về bệnh viêm cơ tim” của tác giả Peter P. Liu, Jay W. Mason đăng trên Circulation 2001; 104:1076 để các bạn tham khảo.
Những tiến bộ trong hiểu biết về bệnh viêm cơ tim
Advances in the Understanding of Myocarditis (Circulation 2001; 104:1076)
Peter P. Liu, Jay W. Mason
Bức tranh "nhiều mặt" của viêm cơ tim:
Viêm cơ tim là bệnh chưa được hiểu biết nhiều vì đó là bệnh tiến triển qua nhiều giai đoạn riêng biệt với cơ chế và biểu hiện lâm sàng khác nhau . Mục đích bài viết này là xác định rõ ràng hơn bệnh viêm cơ tim cho cả thầy thuốc và các nhà khoa học bằng cách sắp xếp theo khung 3 giai đoạn.
Ngoại trừ ở một số quốc gia bệnh Chaga và bạch hầu là phổ biến, thì phần lớn các trường hợp viêm cơ tim là hậu quả của nhiễm trùng do virus mà chúng tiến triển sang giai đoạn tự miễn sau khi phục hồi & giảm tình trạng nhiễm siêu vi và cuối cùng tiến triển thành bệnh cơ tim dãn nở sau khi phục hồi & giảm tình trạng tổn thương tự miễn.
Nguyên nhân virus có thể chứng minh bằng phương pháp gián tiếp hoặc trực tiếp (bằng phân tử). Điều trị hợp lý trong giai đoạn nhiễm virus là loại bỏ virus và cải thiện tình trạng tổn thương do virus.
Giai đoạn miễn dịch có thể được chẩn đoán bằng sinh thiết nội mạc cơ tim, bổ sung bằng các xét nghiệm chỉ điểm về miễn dịch . Ức chế miễn dịch có thể là trị liệu hợp lý nhất trong giai đoạn này, trừ khi sự nhân lên của virus vẫn tồn tại rõ rệt.
Giai đoạn thứ 3 cuả bệnh bệnh cơ tim giãn nỡ là kết quả nặng nề từ tổn thương do virus và do tự miễn nhưng nó tiến triển sau khi ngừng tổn thương. Giai đoạn này thường đựơc ghi nhận bởi kỹ thuật chẩn đoán hình ảnh và kỹ thuật khác nhằm loạïi trừ các nguyên nhân khác gây dãn nở. Điều trị giai đoạn này tập trung vào việc phục hồi quá trình tái cấu trúc xảy ra liên tục bằng cách thúc đẩy sự sống sót của tế bào cơ, giảm hoạt hoá hóc môn và cytokine và giảm stress huyết động học.
Giai đoạn 1: Nhiễm Virus
Các chủng enterovirus như Coxsackie B3 và B4 là những virus ưu thế được phát hiện cả về huyết thanh hoặc phương pháp phân tử trực tiếp như PCR (polymerase chain reaction) hoặc lai hoá in situ (in situ hybridization).
Gần đây do kỹ thuật phân tử phát triển hơn và do dịch tể học đã thay đổi, một số tác nhân virus trở nên chiếm ưu thế. Đó là adenovirus mà thường gặp ở người trẻ, virus viêm gan C. Nhiễm HIV thường liên quan với suy tim mất bù .
Gần đây người ta đã xác định được receptor coxsackie-adenovirus (CAR) mà nó cho phép đưa genome virus Coxsackie vào trong sau khi kết dính và là bước tiếp theo để nhiễm virus, tương tự CAR cho adenovirus.
Giai đoạn 1 của bệnh được khởi động bằng cách virus gây bệnh xâm nhập và tăng sinh ở trong cơ tim. Giai đoạn 1 cũng bao hàm cả hoạt hoá hệ thống miễn dịch vật chủ mà nó làm giảm tăng sinh virus nhưng đồng thời làm gia tăng xâm nhập virus vào bên trong.
Giai đoạn 2: Tự miễn
Lý tưởng nhất là hệ thống miễn dịch tự trở về tình trạng nghỉ ngơi ban đầu nếu như tăng sinh virus được kiểm soát. Tuy nhiên nếu hoạt hoá miễn dịch của vật chủ vẫn tiếp tục không suy giảm dù đã loại bỏ được virus thì bệnh tự miễn có thể sẽ xảy ra và khởi phát giai đoạn 2.
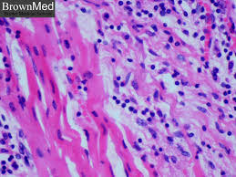
Hình 2. Mô bệnh học viêm cơ tim (xâm nhiễm tế bào lympho vào cơ tim)
Tế bào T tự phản ứng: Khi có nhiễm virus ở cơ tim, tế bào T bị khởi động theo miễn dịch trung gian qua tế bào kinh điển. Các đoạn peptide virus được xử lý ở bộ máy Golgi của tế bào vật chủ và trình bày tại bề mặt tế bào. Hoạt hoá miễn dịch này có tính chất bảo vệ khi mà tế bào T tìm kiếm những tế bào nhiễm virus và phá huỷ chúng bằng cách sản xuất cytokine hoặc ly giải tế bào qua trung gian perforin. Tuy nhiên hoạt hoá tiếp tục tế bào T cuối cùng gây hại cho vật chủ, bởi vì tổn thương qua trung gian cytokine và tế bào T làm giảm số lượng đơn vị co bóp cuả cơ tim. Tác dụng này tích lũy dần gây suy giảm chức năng co bóp mà dẫn đến tái cấu trúc lâu dài và tiến triển bệnh cơ tim dãn nỡ.
Hoạt hoá cytokine: Chất trung gian chủ yếu hoạt hoá miễn dịch và duy trì đáp ứng miễn dịch là cytokines. Matsumori và cs cho thấy rằng các bệnh nhân viêm cơ tim có hoạt hoá mạnh mẽ cytokine bao gồm yếu tố hoại tử mô a (TNF-a ), interleukin-1 và 6. Cytokine góp phần quan trọng đối với dạng biểu hiện bệnh. Thực tế, một số bệnh nhân rối loạn chức năng thất phục hồi hoàn toàn có thể do tiếp xúc ngắn hạn với cytokine. Gần đây, một nghiên cứu bệnh sử tự nhiên ở bệnh nhân viêm cơ tim tối cấp so với người viêm cơ tim không tối cấp, cho thấy rằng theo dõi sau 5, 6 năm, 93% bệnh nhân viêm cơ tim tối cấp còn sống so với 45% người viêm cơ tim nhẹ hơn.
Giai đoạn 3: Bệnh cơ tim dãn nở
Cytokine có thể góp phần tiến triển bệnh cơ tim dãn nở. Trong giai đoạn miễn dịch, chúng hoạt hoá matrix metalloproteinase như gelatinase, collagenase và elastase. Bệnh lý cơ tim dãn nở gặp trong mẫu thực nghiệm có thể cải thiện qua điều trị nhằm ngăn cản vào sự thoái giáng chất gian bào như là chất ức chế elastase.
Hình 3. Bệnh cơ tim dãn (đối chiếu với hình tim bình thường bên trái)
Virus cũng có thể trực tiếp gây ra cái chết của tế bào cơ tim. Sự tồn tại virus tiếp tục sẽ liên quan với hậu quả xấu hơn (tử vong sớm hoặc cần ghép tim). Trong giai đoạn sau của quá trình hoạt hoá miễn dịch, cytokine giữ vai trò hàng đầu gây tái cấu trúc bất lợi và tiến triển suy tim. Điều này thể hiện rõ trong nghiên cứu của Nakamura và cs. Lúc đầu, họ cho nhiễm virus chỉ gây bệnh tim nhẹ. Tuy nhiên, ở lần đưa vào thứ 2 nhiều ngày sau đó , tim nhanh chóng bị dãn nở. Bệnh cơ tim tiến triển dù không có sự tăng sinh của virus nhưng nó liên quan với sự gia tăng nồng độ cytokine như yếu tố hoại tử mô (TNF)
Các đề nghị hiện nay để chẩn đoán và điều trị:
Điều trị đặc hiệu theo giai đoạn có thể rất quan trọng bởi vì có nguy cơ đem đến hậu quả tồi tệ hơn là cải thiện tình trạng viêm cơ tim nếu sử dụng sai thời điểm.
Giai đoạn 1: Sự nhân lên của virus
Trong giai đoạn 1 của viêm cơ tim, khi có sự nhân lên của virus trong hầu hết các trường hợp thật là khó để xác định nhanh chóng nhằm điều trị kháng virus bởi vì:
Hiếm khi cấy máu (+)
Việc chuẩn độ virus là không thực tế.
Không có sẵn phương pháp tầm soát không xâm nhập , nhanh chóng để phát hiện protein hoặc chất liệu di truyền cuả virus cũng như xác định virus đặc hiệu để chọn lựa điều trị kháng virus.
Giai đoạn này có thể diễn ra không ghi nhận được, không kèm triệu chứng suy tim. Khi tổn thương cơ tim rõ ràng trong pha 1, trong hầu hết các trường hợp chẩn đoán viêm cơ tim dựa vào:
Nhóm dấu hiệu và triệu chứng nhiễm siêu vi (sốt, tăng bạch cầu lympho, các dấu hiệu nhiễm trùng hô hấp hoặc tiêu hoá).
Bệnh nhân có thể đau ngực và loạn nhịp nhĩ hoặc thất.
ECG trong giai đoạn cấp của viêm cơ tim lâm sàng bao gồm: QRS dãn rộng, blốc nhánh trái, thay đổi ST-T và blốc AV.
Siêu âm tim có thể biểu hiện giảm chức năng tâm thu, và vận động vách bất thường. Các nghiên cứu gần đây về phân tích kết cấu gợi ý rằng thông tin chẩn đoán đặc hiệu có thể cung cấp qua kỹ thuật xử lý hình ảnh.
Sinh thiết nội mạc cơ tim nói chung không cần thiết trong giai đoạn này nhưng chẩn đoán virus học kết hợp sinh thiết có thể thực hiện qua kỹ thuật tái tổ hợp DNA. Hai phương pháp được sử dụng là PCR (polymerase chain reaction) và lai hoá in situ. Kỹ thuật PCR đạt kết quả (+) gần 20% bệnh nhân nghi ngờ viêm cơ tim và bệnh cơ tim phì đại. Tần số cao hơn trong phase 1 của bệnh. Và kỹ thuật lai hoá in situ phát hiện genome virus gần 35% bệnh nhân. Không phát hiện hoặc nồng độ thấp genome virus ở nhóm kiểm chứng xác nhận độ đặc hiệu của những kỹ thuật này.
Trong thời điểm hiện nay, điều trị trong giai đoạn này bao gồm:
Tránh ức chế miễn dịch gây hại.
Các biện pháp kháng virus không đặc hiệu và kháng virus trực tiếp khi tác nhân virus được xác định hoặc trong bối cảnh dịch tể virus đã biết được. Trong mô hình thực nghiệm, giảm xâm nhập, bám dính và tăng sinh của virus làm giảm mức độ nặng của viêm cơ tim. Thuốc kháng virus hiệu quả bao gồm chất tương tự nucleoside như ribovirin mà nó làm tăng bảo vệ miễn dịch nội sinh, cũng như với globulin miễn dịch và interferon và các thuốc ức chế xâm nhập virus ở vị trí receptor CAR.
Giai đoạn 2 : Hoạt hoá miễn dịch
Giai đoạn 2 của bệnh là kết quả của hoạt hoá miễn dịch có thể chẩn đoán xác định qua sinh thiết.
Chẩn đoán đảm bảo nhất khi:
Khi tiến hành sinh thiết chỉ một vài ngày đến một vài tuần sau khi phục hồi triệu chứng nhiễm siêu vi. Nhiều ổ thâm nhiễm lympho bào ở tổ chức học.
Chẩn đoán ít đảm bảo khi:
Dấu hiệu tiền triệu đã khá lâu, không có tiền triệu xảy ra. Chỉ một vài điểm viêm nhiễm nhỏ.
Mẫu sinh thiết nội mạc cơ tim có thể được phân tích với kỹ thuật tổ chức học, miễn dịch và phân tử. Tư liệu từ loạt lớn >4000 bệnh nhân gợi ý tần số sinh thiết (+) ở bệnh nhân viêm cơ tim hoặc bệnh cơ tim dãn nở là thấp ( # 10%). Kết quả sinh thiết (+) gia tăng khi tăng số lượng mẫu lấy sinh thiết.
Các xét nghiệm chỉ điểm tình trạng hoạt hoá miễn dịch bao gồm phân tử kết dính liên bào -1 (ICAM-1) và các chỉ điểm hoạt hoá tế bào T thường cao hơn ở người viêm cơ tim so với người đối chứng. Cũng như tự kháng thể đặc hiệu cơ tim antimyosin thường cao ở người viêm cơ tim. Tuy nhiên không một xét nghiệm nào đủ nhạy cảm để được xem là một phương tiện chẩn đoán không xâm nhập.
Chẩn đoán phân tử với mẫu sinh thiết cơ tim xác minh nguồn gốc và dịch tễ học cuả bệnh . Những kỹ thuật này đang được nghiên cứu nhưng đầy hứa hẹn.
Các kỹ thuật hình ảnh không xâm nhập như xạ hình kháng thể anti-myosin có đánh dấu gallium và indium cho thấy là không đủ độ đặc hiệu và nhạy cảm để chẩn đoán. Tuy nhiên kỷ thuật có đánh dấu indium có thể làm giảm sự cần thiết sinh thiết nội mạc cơ tim ở những bệnh nhân có kết quả hình ảnh.
Có rất nhiều cách thức điều trị điều hoà miễn dịch trong giai đoạn này bao gồm:
Ức chế miễn dịch (steroids, azathioprine, cyclosporine và OKT-3), globuline miễn dịch có tác dụng điều hoà miễn dịch không có tác dụng chống virus trực tiếp cũng đã được sử dụng.
Ngăn chặn cytokine (manipulation): Chưa có chế độ điều trị anti-cytokine nào được nghiên cứu ở người dù có nhiều đề xuất.
Vaccine chống receptor tế bào T
Hiện nay, chỉ có các thuốc ức chế miễn dịch đã được chứng minh qua nghiên cứu nên được sử dụng trong phase bệnh này và chỉ khi giai đoạn này đã được xác minh rõ.
Điều quan trọng người ta ghi nhận rằng các bệnh nhân viêm cơ tim tối cấp tiến triển rối loạn huyết động đột ngột có tiên lượng tốt hơn những người viên cơ tim cấp và mạn dạng nhẹ. Những bệnh nhân này cần được hổ trợ tích cực với dụng cụ hỗ trợ thất trái vì khả năng phục hồi cao. Bệnh cơ tim chu sinh do viêm cơ tim có thể tiến triển tương đối đột ngột và có thể gây suy tim nặng. Khả năng là do tự miễn, không liên quan với nhiễm virus. Khi bệnh tiến triển nhanh và mạch mẽ, tiên lượng cũng tốt. Hiệu quả ức chế miễn dịch chưa được chứng minh.
Giai đoạn 3: Bệnh cơ tim dãn nở
Khi không có nhiễm virus và hoạt hoá tự miễn tái phát thì bệnh nhân giai đoạn 3 phải được xử trí như bệnh cơ tim dãn nở vô căn và suy tim sung huyết.
Không có chứng cứ bệnh cơ tim dãn nở mãn tính do viêm cơ tim cần điều trị khác với bệnh cơ tim dãn nở do các nguyên nhân khác.
Tái cấu trúc và tồi tệ lâm sàng hơn nữa có thể được ngăn ngừa bằng thuốc ức chế men chuyển, ức chế bêta, spinorolactone, và có thể cả amiodarone.
Đặt máy khử rung nên xem xét ở những người được chứng minh có loạn nhịp thất đe dọa tính mạng.
Theo dõi tái phát tình trạng nhiễm virus hoặc tự miễn. Tốt nhất nên thực hiện cả bệnh sử, thăm khám và siêu âm tim.
Những khuynh hướng tương lai
Cần có những chiến lược chẩn đoán mới mà nó phản ánh đầy đủ quá trình sinh lý bệnh. Sự tiến bộ của các phương pháp nhằm làm rõ tương tác virus, cơ tim, miễn dịch học cho phép chẩn đoán chính xác hơn, tiên lượng hiệu quả hơn, điều trị hợp lý hơn. Chẩn đoán phân tử với tổ chức cơ tim có thể sẽ gia tăng thủ thuật sinh thiết nội mạc cơ tim ngắn hạn, nhưng các kỹ thuật mới về chẩn đoán hình ảnh với đặc hiệu theo giai đoạn hy vọng sẽ giảm cần thiết sinh thiết nội mạc cơ tim.
Ngày càng cải thiện sự hiểu biết về sinh lý bệnh sẽ dẫn đến viễn cảnh điều trị mới. Ví dụ như T-cell tyrosine kinase p56 lck có thể mở ra một đích đến cho phát triển thuốc trong tương lai. Cùng với sự phát hiện receptor coxsackie-adenovirus (CAR)/ phức hợp đồng thụ thể (coreceptor) đối với bệnh này, hướng điều trị chính xác hơn đối với vị trí xâm nhập của virus có thể chứng minh có kết quả.
Các vaccine hiệu quả có thể ngăn ngừa hậu quả bất lợi của nhiễm virus , bao gồm cả viêm cơ tim. Các vaccine này có thể bao gồm trong chương trình tiêm chủng trẻ em. Chủng ngừa vaccine chống lại receptor tế bào T liên quan với viêm cơ tim tự miễn có nhiều triển vọng điều trị. Trong mẫu chuột thí nghiệm bằng cách sử dụng myosin cơ tim qua đường mũi, người ta ghi nhận đạt được dung nạp đặc hiệu với kháng nguyên myosin mà thành phần này tham gia trong viêm cơ tim tự miễn. Đây là phương thức điều trị đầy hứa hẹn bởi vì myosin có thể là tự kháng nguyên phổ biến trong bệnh viêm cơ tim ở người. Việc giải phóng nó lưu thông trong tuần hoàn sau khi có tổn thương cơ tim do nhiều nguyên nhân khác nhau đã làm khởi phát quá trình tự miễn, mà đây có thể là con đường chung cuối cùng đối với nhiều dạng viêm cơ tim.
Dịch từ Circulation tháng 9 năm 2001. Người dịch Nguyễn Hữu Trâm Em
Hình 1. Viêm cơ tim
