PGS.TS. Hà Hoàng Kiệm, BV 103
Hình 1. Nang đơn thận.
1. Đại cương
1.1. Phân loại bệnh thận có nang
1.1.1. Phân loại theo Brurstein và Gardner (1985)
- Thận đa nang.
- Bệnh thận có nang ở các hội chứng di truyền.
- Bệnh thận có nang đơn:
+ Thận nang đơn độc.
+ Thận Nhiều nang đơn.
- Bệnh thận có nang khóm và một bên.
- Bệnh thận có nang mắc phải.
- Bệnh thận có nang ở tủy thận.
- Loạn sản thận: bao gồm các bệnh thận có nang bẩm sinh.
1.1.2. Phân loại theo Gavin J. Becker; Judith A. Whiteworth và Priscilla Kincaid Smith (1992)
- Bệnh thận đa nang người lớn (Adult polycystic kidney disease).
- Bệnh thận đa nang tủy thận (Medullary cystic kidney disease).
- Bệnh thận có nang đơn (Simple cystic of the kidney disease).
- Bệnh tủy thận bọt biển (Medullary sponge kidney disease).
- Bệnh loạn sản nang thận (Dysplastic kidney disease or cystic renal dysplasia).
- Bệnh thận đa nang tuổi thanh thiếu niên (Juvenile polycystic kidney disease).
- Bệnh nang thận mắc phải (Aquired cystic kidney disease).
Hình 2. Các loại thận có nang (Kidney Cysts). No cysts: thận không có nang. Simple cysts: thận nang đơn. Recessive polycystic: thận đa nang gen thân lặn (thận đa nang trẻ em). Dominant polycystic: thận đa nang gen thân trội (thận đa nang người lớn). Hydronephrosis is not cysts: thận ứ nước không phải nang. Dysplasia: loạn sản. Madullary sponge: tủy thận bọt biển, Medullary uremic: nang tủy thận. Dialysis cystic: Nang ở người lọc máu chu kỳ.
1.2. Bệnh thận nang đơn
1.2.1. Khái niệm
Nang đơn thận là nang chỉ có ở một thùy thận, nằm riêng biệt, không thông với bể thận. Có thể có một hoặc nhiều nang, ở một hoặc cả hai bên thận.
1.2.2. Phân loại
2.2.1. Theo số lượng nang
- Nang đơn độc (Solytary cystic).
- Nhiều nang (Multiple cystic).
+ Một bên (Unilateral cystic).
+ Hai bên (Bilateral).
2.2.2. Theo vị trí nang
- Theo vị trí tương đối với nhóm đài thận:
+ Nang ở cực trên.
+ Nang ở giữa thận.
+ Nang ở cực dưới.
- Theo vị trí tương đối từ bờ ngoài vào rốn thận:
+ Nang ở vùng chu vi thận.
+ Nang ở nhu mô thận.
+ Nang cạnh bể thận.
2.2.3. Nguyên nhân
Nguyên nhân sinh bệnh của nang đơn thận chưa được biết rõ ràng. Nhiều tác giả đã đưa ra những giả thiết khác nhau để giải thích nguyên nhân. Có 2 giả thuyết về nguồn gốc nang đơn thận.
2.2.3.1. Giả thuyết bẩm sinh
- Hidebrand (1984) cho rằng trong quá trình phát triển phôi thai học của thận, có sự khiếm khuyết của mầm hậu thận (Metanephrogene) với ống Wolff sinh ra nang thận.
- Kampmeire đã chứng minh trong sự phát triển bào thai của thận, ở các giai đoạn phân chia thứ 3 hoặc thứ 4 của niệu quản, một phần của ống lượn có thể tách ra khỏi ống góp, sau đó lớn dần và trở thành nang thận.
2.2.3.2. Giả thuyết mắc phải
- Do viêm nhiễm: Rujssenaers và Wirchow cho rằng nang thận là bệnh mắc phải, được hình thành thứ phát, nguyên nhân do viêm nhiễm gây tắc nghẽn ống thận vì bệnh nang đơn thận thường gặp ở người trung niên, cao tuổi và có sự gia tăng tỷ lệ bệnh cùng với lứa tuổi Thực nghiệm trên hai thận thỏ bằng cách kết hợp buộc ống thận và thắt mạch máu cung cấp cho nhú thận của vùng đó, kết quả dẫn đến hình thành nang thận.
- Do tắc ống thận: Một số tác giả cho rằng: túi thừa đài thận có thể trở thành nang đơn thận. Tắc ống lượn gần hoặc yếu màng đáy của ống thận có thể tạo thành nang thận.
- Do nhiễm độc: nang đơn thận có thể là một biến chứng của nhiễm acid ống lượn xa tiên phát.
2.2.4. Giải phẫu bệnh
- Hầu hết nang đơn thận thấy ở tổ chức vỏ thận, hình tròn hoặc bầu dục, kích thước khác nhau có thể từ 1cm đến hàng chục centimet. Thường chỉ có một nang ở một bên thận nhưng cũng có thể có nhiều nang ở một hoặc cả hai bên thận.
- Thành nang dày khoảng 2mm, cấu tạo hầu hết bằng mô xơ, gồm 3 lớp:
+ Lớp trong là tế bào biểu mô hình trụ giống tế bào ống thận.
+ Lớp giữa là lớp liên kết gồm 1 lớp sợi collagen và 1 lớp cơ trơn.
+ Lớp ngoài cùng là vỏ nang có cấu tạo giống vỏ ống thận xơ teo.
- Dịch trong nang: thường trong, màu vàng rơm. Trường hợp nang bị nhiễm khuẩn hoặc chảy máu thì dịch nang sẽ đục, có màu hồng, màu nâu hoặc đen.
3. Lâm sàng và cận lâm sàng
3.1. Lâm sàng
Nang đơn thận thường không có triệu chứng lâm sàng nên bệnh nhân không để ý. Phần lớn nang đơn thận được phát hiện tình cờ khi được làm siêu âm hoặc chụp cắt lớp vi tính. Dấu hiệu lâm sàng phụ thuộc vào các nang đó có gây nên chén ép đài bể thận và làm ứ nước thận hay không. Một số ít trường hợp, nang thận được phát hiện khi bị vỡ do chấn thương hoặc khi nang bị chảy máu trong nang hoặc nhiễm khuẩn nang. Tuy vậy, nang đơn thận có thể gây triệu chứng:
- Đau thắt lưng hoặc tức nặng vùng thắt lưng bên thận có nang là triệu chứng hay gặp khi kích thước nang lớn khiến bệnh nhân phải đi khám.
- Tăng huyết áp: những nang thận có kích thước lớn, lại nằm ở vùng nhu mô thận làm choán chỗ một vùng thận gây ra thiếu máu tại vùng đó, dẫn đến tăng bài tiết renin và làm tăng huyết áp thứ phát.
- Thận to: khi nang thận quá to, có thể sờ thấy hoặc nhìn thấy một khối u ở bụng.
- Triệu chứng về đường tiết niệu: đái buốt, đái rắt, đái khó, đái ra máu hoặc nước tiểu đục.
- Sốt, đau âm ỷ vùng thắt lưng khi bị nhiễm khuẩn nang.
3.2. Cận lâm sàng
3.2.1. Xét nghiệm
- Máu: công thức máu, chức năng thận (ure, creatinin) bình thường trừ trường hợp nang bị nhiễm khuẩn, bạch cầu máu có thể tăng.
- Nước tiểu: bạch cầu, hồng cầu từ (++) đến dày đặc tùy theo tình trạng viêm nhiễm đường tiết niệu hoặc đái ra máu, protein niệu thường rất thấp.
3.2.2. Chẩn đoán hình ảnh
- Siêu âm thận:
Siêu âm là kỹ thuật được lựa chọn đầu tiên để chẩn đoán bệnh nang đơn thận. Nhờ có siêu âm mà nang thận ngày càng được phát hiện nhiều hơn, chẩn đoán xác định nang đơn thận chủ yếu dựa vào kỹ thuật siêu âm với các tiêu chuẩn sau:
+ Khối trống âm thuần nhất (Echo free). Nếu có nhiễm khuẩn hoặc chảy máu trong nang thì dịch nang có những đám phản hồi âm.
+ Hình nang tròn hoặc bầu dục.
+ Thành nang nhẵn, mỏng, bờ đều rõ.
+ Cho sóng âm xuyên qua tốt, làm tăng âm phía sau của nang.
Hình 3. Hình ảnh nang đơn thận ở cực trên thận.
- Chụp thận thuốc - tĩnh mạch (UIV):
Chụp thận thuốc - tĩnh mạch là thủ thuật được sử dụng nhiều khi chưa có siêu âm chẩn đoán. Những nang có kích thước nhỏ chưa đủ để gây chén ép đài bể thận hoặc những nang không nằm ở vùng nhu mô thận thì rất khó phát hiện trên phim UIV. Do đó chụp thận thuốc tĩnh mạch được chỉ định cho những bệnh nhân có kích thước nang từ 4cm trở lên hoặc trường hợp nghi ngờ nang với giãn đài bể thận.
Trên phim chụp UIV có thể thấy bóng của nang thận và hình ảnh đè đẩy hệ thống đài bể thận do nang chèn ép, đồng thời còn xem nang có thông với đài bể thận hay không.
Hình 4. Nang đơn ở cực giữa thận trái trên phim chụp UIV (mũi tên).
- Chụp cắt lớp vi tính (nếu cần thiết).
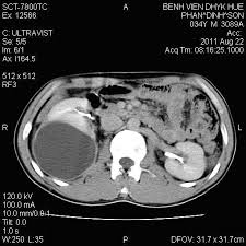
Hình 5. Nang đơn cực giữa thận phải trên phim CT.
4. Chẩn đoán phân biệt
4.1. Thận đa nang
- Bệnh di truyền theo kiểu gen trội (trong phả hệ gia đình nhiều người bị bệnh). Hai thận to do bị thay thế bởi nhiều nang.
- Kích thước nang to nhỏ không đều nhau. Có nang rất lớn (>10cm) nhưng cũng có nang rất nhỏ (khoảng 0,5cm).
- Có thể kèm theo gan đa nang.
- Dựa vào tiêu chuẩn chẩn đoán của Ravine:
|
Tuổi |
Tiêu chuẩn siêu âm |
|
Dưới 30 tuổi |
Ít nhất 2 nang tại thận (1 hoặc 2 bên) |
|
Từ 30 đến dưới 60 tuổi |
Ít nhất 2 nang trong mỗi thận |
|
Trên 60 tuổi |
Ít nhất 4 nang trong mỗi thận |
Hình 6. Thận đa nang người lớn trên siêu âm (ảnh trái, chữ c là cyst: nang) và MRI (ảnh phải).
4.2. Nang thận mắc phải
Gặp ở bệnh nhân suy thận mạn (ure máu cao) hoặc lọc máu chu kỳ kéo dài.
4.3. Giãn đài bể thận
Thận ứ nước có hình ảnh thông giữa các đài bể thận với nhau trên siêu âm hoặc trên phim chụp UIV.
Hình 7. Thận phải ứ nước trên siêu âm (hình trái), MRI (hình phải).
5. Biến chứng
- Tắc đài bể thận do nang to chèn ép.
- Viêm nhiễm đường tiết niệu hoặc hình thành sỏi trong nang.
- Vỡ nang vào hệ thống đài bể thận gây đái máu thứ phát hoặc có thể vỡ ra ngoài bao thận gây đau dữ dội và tràn dịch quanh thận. Chúng tôi đã gặp một số trường hợp nang thận vùng vỏ vỡ gây tràn dịch quanh thận, siêu âm thấy thận như bơi trong bể dịch, bệnh nhân được chọc dẫn lưu dịch thì khỏi. Biến chứng nặng hơn có thể dẫn đến sốc mất máu (hiếm gặp).
- Chảy máu trong nang gây đau lưng dữ dội, kèm theo các triệu chứng của đường tiết niệu và nước tiểu.
- Nang thận có thể bị nhiễm khuẩn, áp xe hoặc ung thư hóa (ít gặp). Điều trị nang thận nhiễm khuẩn rất khó khăn vì thuốc kháng sinh khó ngấm được vào nang.
6. Điều trị
6.1. Điều trị triệu chứng
- Nang nhỏ không gây triệu chứng chỉ cần theo dõi, 6 tháng một lần nên làm siêu âm thận để theo dõi sự tiến triển của nang hoặc các biến chứng như nhiễm khuẩn nang, chảy máu trong nang hoặc hình thành sỏi trong nang. Chú ý tránh các chấn thương vùng thắt lưng có thể gây vỡ nang hoặc chảy máu trong nang.
- Đau thắt lưng và tức nặng vùng thắt lưng: Thuốc giảm đau, thuốc giãn cơ.
- Tăng huyết áp: dùng thuốc hạ áp.
- Nhiễm trùng đường tiết niệu: Kháng sinh (theo kháng sinh đồ nếu có).
6.2. Chọc hút dịch nang thận và gây dính
Trước kia phần lớn các nang thận đều được điều trị bằng phẫu thuật cắt bỏ nang, cắt bán phần thận có nang hoặc điều trị nội soi cắt bỏ một phần nang thận. Những năm gần đây, nhờ có kỹ thuật siêu âm, việc điều trị nang đơn thận đã có nhiều tiến bộ. Phương pháp chọc hút dịch nang thận qua da phối hợp bơm cồn tuyệt đối (Ethanol 95%) làm xơ hóa vỏ nang dưới hướng dẫn của siêu âm đã đem lại nhiều kết quả tốt.
Chọc hút dịch nang thận qua da có thể tiến hành cho các nang thận có kích thước từ 6cm trở lên. Đây là một kỹ thuật đơn giản dễ làm, rẻ tiền và an toàn, có thể thực hiện được ở tất cả các bệnh viện đã có máy siêu âm.
Hình 8. Chọc hút nang và tiêm dính dưới màn X-quang tăng sáng.
6.3. Phẫu thuật cắt chỏm thận có nang
Khi nang to > 5cm, gây đau tức thắt lưng, chèn ép niệu quản, điều trị nội hoặc can thiệp ít xâm lấn không hiệu quả, có nguy cơ ung thư hóa,… thì có chỉ định phẫu thuật cắt chỏm thận có nang qua nội soi sau phúc mạc.
7. Kết luận
Bệnh nang đơn thận là một bệnh lành tính, thường gặp ở người lớn. Lứa tuổi gặp nhiều nhất từ 40 trở lên. Nang đơn thận ít có biểu hiện triệu chứng lâm sàng và cũng không ảnh hưởng đến chức năng thận. Dấu hiệu lâm sàng chỉ xuất hiện khi nang có kích thước lớn gây chèn ép nhiều vào nhu mô thận hay đài bể thận gây nên các triệu chứng: đau thắt lưng hoặc tức nặng vùng thắt lưng bên có nang, tăng huyết áp thứ phát và thận to do nang.
Các biến chứng của bệnh nang đơn thận hay gặp khi nang có kích thước lớn như viêm đường tiết niệu, đái máu, sỏi thận tiết niệu, nhiễm khuẩn nang.
Siêu âm là kỹ thuật được lựa chọn đầu tiên để chẩn đoán nang đơn thận. Đây là phương pháp đơn giản, an toàn và dễ thực hiện, đem lại hiệu quả cao. Qua siêu âm, giúp ta xác định được kích thước, vị trí nang để hướng dẫn chọc hút dịch nang khi có chỉ định.
Tài liệu tham khảo
1. Tada S, Yamagishi J, Kobayashi H, Hata Y, Kobari T (July 1983). "The incidence of simple renal cyst by computed tomography". Clinical Radiology 34 (4): 437–9. PMID 6872451.
2. http://urology.med.nyu.edu/conditions-we-treat/renal-cysts
3. Curry NS, Cochran ST, Bissada NK (August 2000). "Cystic renal masses: accurate Bosniak classification requires adequate renal CT". American Journal of Roentgenology 175 (2): 339–42. doi:10.2214/ajr.175.2.1750339. PMID 10915671.
4. Kissane JM. The morphology of renal cyst disease. Perspect Nephrol Hypertens. 1976;4:31–63. [PubMed]
5. Tada S, Yamagishi J, Kobayashi H, et al. The incidence of simple renal cyst by computed tomography. Clin Radiol. 1983;34:437–9. [PubMed]
6. Minor LD, Picken MM, Campbell SC. AUA Update Series. Vol. 22. Houston, TX: 2003. Benign renal tumors; pp. 170–1.
7. Weber TM. Sonography of benign renal cystic disease. Ultras Clin. 2006;1:15–24.
8. Bosniak MA. The current radiological approach to renal cysts. Radio. 1986;158:1–10. [PubMed]
9. Israel GM, Bosniak MA. An update on the Bosniak renal cyst classification system. Urology. 2005;66:484–8. [PubMed]
10. Prasad SR, Dalrymple NC, Surabhi VR. Cross-sectional imaging evaluation of renal masses. Radio Clin. 2008;46:95–111. [PubMed]
